CASE OF THE WEEK
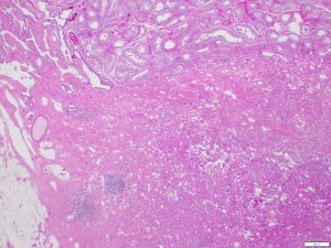
A male in his 50s presented with a right testicular mass. The mass is considered intratesticular on imaging. A right orchiectomy was performed. Macroscopic examination shows a mass that is 1.1 cm in diameter, round shaped, with well-demarcated borders and involving the tunica albuginea. A male in his 50s presented with a right testicular mass. A right orchiectomy was performed. Contributors :
Gamze Cetinkaya, Mahmut Akgul
Department of Pathology and Laboratory Medicine, Albany Medical Center, Albany, NY, USA
What is the correct diagnosis?
a. Sertoli cell tumor
b. Adenomatoid tumor
c. Seminoma
d. Metastatic adenocarcinoma
e. Mesothelioma
Adenomatoid tumor, arising from the tunica albuginea.
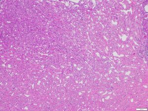
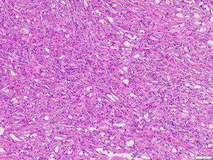
Adenomatoid tumors are benign tumors and accounts for 30% of all paratesticular masses. These tumors can commonly arise from epididymis and less commonly from the tunica albuginea, spermatic cord, or tunica vaginalis. Patients with adenomatoid tumors are commonly in their 30s to 50s. Tumor sizes can range from 0.5 cm to 5 cm. The studies show that the history of injury or inflammation is not related with the diagnosis of adenomatoid tumor from tunica albuginea.
In this patient, macroscopic examination shows a mass that is 1.1 cm in diameter, round shaped, well demarcated borders and involving tunica albuginea. It appears to be an intratesticular mass because it originates from the tunica albuginea.
Differential diagnosis includes other testicular masses such as germ cell tumors, sex cord stromal tumors, testicular lymphoma, malignant mesotheliomas, metastatic carcinomas. Most malignant masses arise intratesticular, such as seminomas are the most common malignant testicular tumors in adults. For this reason, it should be distinguished whether the mass is intratesticular or extratesticular. US can be useful to differentiate a paratesticular mass from an intratesticular mass. In our case the mass involves tunica albuginea and microscopic evaluation is negative for germ cell neoplasia.
The other differential diagnosis includes malignant mesotheliomas. Because there are some reports that suggest the adenomatoid tumors originate from the mesothelial cells. Exposure to asbestos is an important risk factor for malignant mesotheliomas. For testicular mesothelioma this risk factor is only confirmed in 35% of cases. The most important way to distinguish malignant mesotheliomas is pathologic diagnosis. Cytologic atypia can be seen in malignant mesotheliomas.
There are some metastatic carcinomas that can present similarities with adenomatoid tumors that arise from the tunica albuginea. Adenomatoid carcinomas from the prostate, lung or gastrointestinal tract can metastasize into tunica vaginalis and show similarities. Metastatic situations can distinguish with our diagnosis with the differences between the age groups and the absence of other tumors in the other organs.
Testicular lymphomas are the most common testicular malignancy that presents with bilateral involvement and the median age between 60 to 70 at diagnosis. Extranodal spread may occur. These outcomes are not compatible with our case.
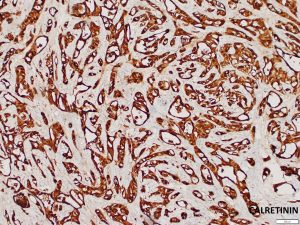
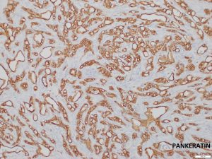
Immunohistochemical assays with appropriate controls show that tumor cells diffusely express calretinin (as shown), WT1, D240, AE1/3 (as shown), while they are negative for SMA and PAX8. These findings support the above diagnosis.
Andrew Y. Sun, MD, A. Scott Polackwich, MD, Edmund S. Sabanegh, Jr, MD. Adenomatoid Tumor of the Testis Arising from the Tunica Albuginea. Reviews in Urology. 2016;18(1):51-53.
Chong Qing Cheng, MD, PhD, Jing Sun, MD, Jiang Yan Yin, MD, Tian Tian Wang, MD, Xue Mei He, MD, PhD. Ultrasonography of a giant adenomatoid tumor of the tunica vaginalis: A case report and review of the literature. Radiology Case Reports 17 (2022) 4302-4307.
Kaimin Guo, Runhui Tian, Lingyun Liu, Congqi Du, Fubiao Li, and Hongliang Wang. Adenomatoid Tumor of the Tunica Albuginea in a Boy: A Case Report and Literature Review. Case Reports in Urology, Volume 2015.
Gamze Cetinkaya, Mahmut Akgul
Department of Pathology and Laboratory Medicine, Albany Medical Center, Albany, NY, USA
Testis
Adenomatoid tumor, tunica albuginea





