CASE OF THE WEEK
Suspicious testicular lesion noticed in a male in his late 20s. Suspicious testicular lesion noticed in the ultrasound of a 29 year old male. Ultrasound-guided testicular biopsy. Contributors :
Dr Chara Ntala, St Georges University Hospital, chara.ntala@stgeorges.nhs.uk, @CharaNtala
Dr Angelique Nomikos, NHS Lothian
Dr Marie O’Donnell, NHS Lothian, marie.o’donnell@nhslothian.scot.nhs.uk
What is the correct diagnosis?
A. Adenomatoid tumour
B. Papillary cystadenoma of the epididymis
C. Metastatic clear cell renal cell carcinoma (RCC)
D. Sertoli cell tumour
E. Mesothelioma
What is the associated syndrome?
A. Birt-Hogg-Dube syndrome
B. Von Hippel-Lindau Disease
C. Hereditary leiomyomatosis and renal cell carcinoma syndrome
D. Tuberous sclerosis
B.
B.
Papillary cystadenoma of the epididymis
Von Hippel-Lindau Disease
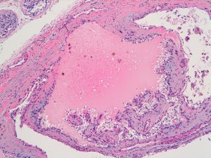
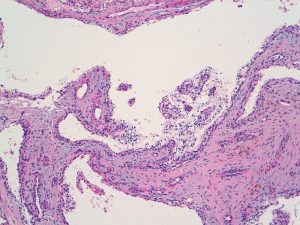
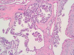
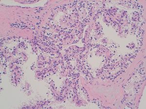
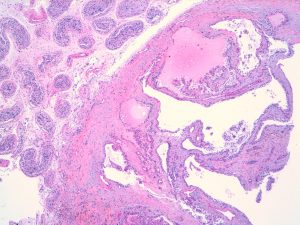
Histological examination showed a partly solid and partly cystic lesion within the paratesticular soft tissue. The cystic spaces showed focal short papillary projections and were lined by cuboidal to columnar epithelial cells with small round nuclei and abundant clear cytoplasm. The supporting stroma was fibrotic. There was no evidence of cellular pleomorphism, mitotic activity or necrosis. The background testicular parenchyma showed seminiferous tubules with active complete spermatogenesis and no evidence of intratubular germ cell neoplasia.
The lesional cells stained positively for AE1/3, PAX8, CK7, EMA, CAIX (cup shaped positivity). They were negative for WT1, inhibin, brachyury, podoplanin, AMACR, CD10, chromogranin A, synaptophysin, S-100 and GFAP.
The overall appearances were those of a clear cell papillary cystadenoma of the epididymis, a benign neoplasm commonly seen in patients with Von Hippel-Lindau Disease as in this case.
Papillary cystadenoma of the epididymis is an uncommon benign epithelial tumour, which originates within the head of the epididymis and broad ligament. These lesions usually present as paratesticular masses or as an incidental finding detected during fertility workup. The tumour cells have the same immunophenotype as clear cell papillary renal cell tumour, being positive for PAX8, CK7 and CAIX (cup shaped). Papillary cystadenomas of the epididymis can be sporadic or syndromic and bilateral cases have been associated with von Hippel Lindau disease (approximately 50% of cases).
Particularly in the setting of Von Hippel-Lindau disease, the main differential diagnosis is with metastatic renal cell carcinoma. Some cases of papillary cystadenoma can very closely resemble clear cell RCC histologically.However, the immunohistochemistry profile of strong positive staining for CK7, negative staining for CD10 and cup shaped staining with Cabonic Anydrase 9 contrasts with the usual clear cell RCC immunophenotype. Papillary cystadenomas of the epididymis are entirely benign but should always prompt the pathologist to suggest the possibility of associated Von Hippel Lindau syndrome. (1–3).
1. Cox R, Vang R, Epstein JI. Papillary cystadenoma of the epididymis and broad ligament: morphologic and immunohistochemical overlap with clear cell papillary renal cell carcinoma. Am J Surg Pathol. 2014 May;38(5):713–8.
2. Miscia ME, Di Renzo D, Persico A, Tarallo L, Chiesa PL. Unilateral Papillary Cystadenoma of the Epididymis as a First Presentation of Von Hippel-Lindau Disease. Urology. 2018 Aug;118:189–91.
3. Gupta S, Erickson LA. Paratesticular Papillary Cystadenoma of the Epididymis in the Setting of von Hippel-Lindau. Mayo Clin Proc. 2021 Mar;96(3):828–9.
Dr Chara Ntala, St Georges University Hospital, chara.ntala@stgeorges.nhs.uk, @CharaNtala
Dr Angelique Nomikos, NHS Lothian
Dr Marie O’Donnell, NHS Lothian, marie.o’donnell@nhslothian.scot.nhs.uk
Epididymis
Papillary cystadenoma, Von Hippel-Lindau Disease





