CASE OF THE WEEK
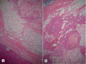
A female patient in her early 50s had a 3.5-cm renal mass incidentally detected in imaging exams. A partial nephrectomy was performed. An incidental renal mass with prominent myxoid and cystic changes. Contributors :
Daniel Athanazio
Imagepat, Laboratory of Pathology
Federal University of Bahia / Hospital Universitário Professor Edgard Santos
Salvador, Bahia, Brazil
Maiara Ferreira de Souza
Imagepat, Laboratory of Pathology
Salvador, Bahia, Brazil
Andrea de Oliveira Cruz
Imagepat, Laboratory of Pathology
Salvador, Bahia, Brazil
Paulo Athanazio
Imagepat, Laboratory of Pathology
Salvador, Bahia, Brazil
What is the correct diagnosis?
PEComa
Clear cell carcinoma
Renal cell carcinoma with (angio) leiomyomatous stroma
Angiosarcoma
Anastomosing hemangioma
Anastomosing hemangioma
Anastomosing hemangioma
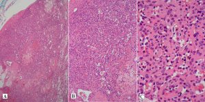
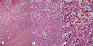
The tumor was located in the perirenal tissue. Focal infiltrative pattern within fat raised concerned of mixed adipose and vascular components of angiomyolipoma / PEComa. Gross appearance included extensive myxoid change and cystic formation. Endothelial cells expressed ERG and CD31 while pericytes expressed smooth muscle actin. The entire tumor was negative for MelanA, melanosome (HMB45), TFE3, human herpes virus 8, PAX8, keratins and S100 protein. The proliferation index (Ki67) was 3%.
In 2009, Montgomery and Epstein described six vascular tumors (four in the kidney or perirenal tissue, and two in the testis). These tumors showed capillary-size vessels with prominent anastomosing pattern and were named “anastomosing hemangioma of the genitourinary tract”. Since then, more than 100 cases have been reported in the genitourinary tract and elsewhere. In the kidney, most cases are associated with end-stage renal disease. Most cases are incidentally detected in imaging studies.
From 2009 to 2017, 64 renal and 51 non-renal lesions were reported. Anastomosing hemangioma has a wide age distribution (2 to 85) with median age of 49 years (in renal cases) and 65.5 (non-renal cases). Renal cases were mostly confined in parenchyma (72% – more commonly in the medulla) and a minority in renal sinus and peri-renal tissue. Myxoid change, as seen in this case, is commonly reported.
Differential diagnosis includes well-differentiated angiosarcoma. Anastomosing hemangioma shows irregular architectural pattern and may exhibit infiltrative features including fat entrapment and intravascular extension. Exclusion of malignancy relies on the lack of significant endothelial nuclear atypia and pleomorphism, lack or rarity of mitosis, low proliferative index, absence of necrosis or broadly infiltrative pattern. In addition, a the regular pericytic accompanying layer and the absence of multilayering endothelial formations are important features of anastomosing hemangioma. Extramedullary hematopoiesis, a frequent finding in anastomosing. Despite the prominent fused pattern, in contrast to Kaposi sarcoma, all anastomosing hemangiomas are negative for HHV-8 and lack increased number of plasma cells. Other benign vascular lesions that occur in the kidney – and must be differentiated from anastomosing hemangioma – are common capillary and cavernous hemangioma, papillary intravascular endothelial hyperplasia, and arteriovenous malformations.
Kim CS, Choi SJN, Kim SS, Suh SH, Bae EH, Ma SK, Kim SW. An anastomosing hemangioma mimicking a renal cell carcinoma in a kidney transplant recipient: a case report. BMC Nephrol. 2021 Jul 13;22(1):262.
Montgomery E, Epstein JI. Anastomosing hemangioma of the genitourinary tract: a lesion mimicking angiosarcoma. Am J Surg Pathol. 2009 Sep;33(9):1364-9.
Perdiki M, Datseri G, Liapis G, Chondros N, Anastasiou I, Tzardi M, Delladetsima JK, Drakos E. Anastomosing hemangioma: report of two renal cases and analysis of the literature. Diagn Pathol. 2017 Jan 24;12(1):14.
Daniel Athanazio
Imagepat, Laboratory of Pathology
Federal University of Bahia / Hospital Universitário Professor Edgard Santos
Salvador, Bahia, Brazil
Maiara Ferreira de Souza
Imagepat, Laboratory of Pathology
Salvador, Bahia, Brazil
Andrea de Oliveira Cruz
Imagepat, Laboratory of Pathology
Salvador, Bahia, Brazil
Paulo Athanazio
Imagepat, Laboratory of Pathology
Salvador, Bahia, Brazil
Kidney
Kidney; Hemangioma; Differential Diagnosis





