CASE OF THE WEEK
24 year old male underwent left orchiectomy due to cystic, measuring 1,8 cm tumor. Microscopic examination revealed epidermoid cyst. Additionally, in the rete testis incidental, 2 mm nodule was found. Incidentally identified 0.8 cm testicular tumor. Contributors :
Joanna Rogala, Elżbieta Górzyńska, Mariusz Kosiński
Department of Pathology, Charles University in Prague, Faculty of Medicine in Plzeň, Pilsen, Czech Republic
Department of Pathology “Hist- Med”, Regional Specialized Hospital in Wroclaw, Poland
What is the correct diagnosis?
a) Rete Testis-Associated Nodular Steroid Cell Nests (RTANSCN)
b) Adrenocortical rests
c) Testicular Associated Leydig Cells (TALC)
d) Leydig cell hyperplasia
e) The testicular tumor of the adrenogenital syndrome (TTAGS)/ Testicular pseudotumor of the adrenogenital syndrome (TPAS)
A.
Rete Testis-Associated Nodular Steroid Cell Nests (RTANSCN)
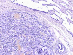
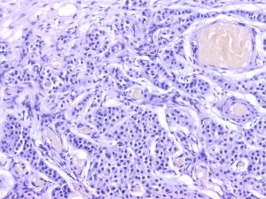
Rete Testis-Associated Nodular Steroid Cell Nests (RTANSCN) – unencapsulated nodules measuring less than 3 mm, located in rete testis. RTANSCN are composed of eosinophilic cells with round nuclei and variable prominent nucleoli arranged in nests and trabeculae with sticking sinusoidal vasculature and retraction artefact. Intracytoplasmatic Reinke crystals or lipochrome pigment are not present.
RTANSCN are usually incidental finding in patients with negative anamnesis for endocrine disorder. They are hypothesised to be the origin of the adrenogenital syndrome “tumors.”
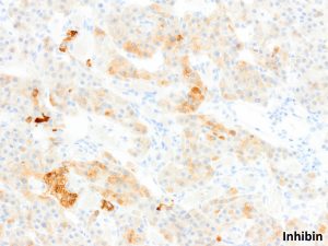
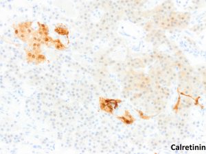
Immunohistochemical examination shows variable inhibin and calretinin expression, and strong Melan A immunostaining.
In the differential diagnosis several entities should be considered: Adrenocortical rests are occasionally seen in children’s testicular adnexal structures. Nodules measure up to 7 mm, they are well demarcated, surrounded by thin capsule. Histologically they consist of adrenal cortical tissue resembling zona glomerulosa and/or fasciculata. Adrenocortical rests physiologically involute during childhood, but may persist and become functional and rarely form neoplasms in the adrenogenital syndrome. They rarely occur in adults. Very rarely, similar lesion can be found in women in the uterine broad ligament.
Immunohistochemical examination shows variable inhibin and calretinin expression, and strong Melan A immunostaining.
Testicular Associated Leydig Cells (TALC) – extratesticular aggregates of Leydig cells. Frequent intimate association with blood vessels and nerves is documented. Cells with eosinophilic cytoplasm may contain Reinke crystals and lipochrome pigment. No sinusoidal vasculature or retraction artefact is seen. Another phenomenon- Leydig cell hyperplasia (LCH) should be considered. LCH is composed of intratesticular clusters of Leydig cells usually diffusely distributed, but occasionally may form larger nodules. Cells with eosinophilic cytoplasm may contain Reinke crystals and lipochrome pigment. No sinusoidal vasculature or retraction artefact is seen. Lesion frequently occurs in the background of testicular atrophy.
Immunohistochemical examination: both TALC and Leydig cell hyperplasia show strong expression for inhibin and calretinin whereas Melan A expression is variable.
The testicular tumor of the adrenogenital syndrome (TTAGS)/ Testicular pseudotumor of the adrenogenital syndrome (TPAS) is rare. Characterised by nodules of eosinophilic, steroid cells separated by fibrous bands. Presents characteristically as multifocal, bilateral lesions. Occasionally, nodules may measure up to 10 cm. No Reinke crystals or lipochrome pigment are seen. Important is correlation with laboratory finding. In patients with TPAS there is always an elevated level of elevated adrenocorticotropic hormone (ACTH). In case that urologist or endocrinologist consider such a diagnosis, biochemical examination (ACTH) directly leads to correct diagnosis and biopsy of testicular mass is not necessary. TPAS decreases substantially after administration of corticosteroids.
Immunohistochemical examination shows strong inhibin, calretinin and Melan A expression.
Paner GP, Kristiansen G, McKenney JK, Amin MB. Rete testis-associated nodular steroid cell nests: description of putative pluripotential testicular hilus steroid cells. Am J Surg Pathol. 2011 Apr;35(4):505-11.
Joanna Rogala, Elżbieta Górzyńska, Mariusz Kosiński
Department of Pathology, Charles University in Prague, Faculty of Medicine in Plzeň, Pilsen, Czech Republic
Department of Pathology “Hist- Med”, Regional Specialized Hospital in Wroclaw, Poland
Testis
rete testis, steroid cell nodules





