CASE OF THE WEEK
A male patient in his 70s presented with a slowly growing left scrotal mass. Scrotal ultrasound examination showed a large 11 x 8 x 5 cm solid and cystic mass within the left hemiscrotum. The testis and epididymis could not be separately identified. CT scan of the chest, abdomen and pelvis showed a large heterogeneous mass in the left para-aortic region 147 x 94 x 87 mm, of which biopsy was inconclusive. The patient subsequently underwent left radical orchidectomy.
Contributors :
Laurence A Galea (1), David Pan (2), Adam Scarlett (1)
1. Department of Anatomical Pathology, Melbourne Pathology, Sonic Healthcare, Victoria, Australia
2. Departments of Urology, Austin Health, Monash Health, Cabrini Health and Mulgrave Hospital, Victoria, Australia.
What is the correct diagnosis?
a. Adenocarcinoma of the rete testis
b. Serous carcinoma
c. Mesothelioma of the tunica vaginalis
d. Metastatic carcinoma
e. Yolk sac tumour
c.
Mesothelioma of the tunica vaginalis
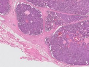
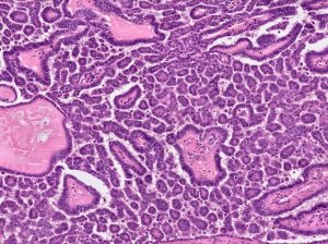
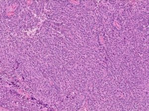
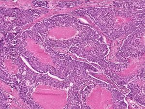
Macroscopically the tumour was composed of variably sized tan, white fleshy and haemorrhagic coalescent nodules. Fluid-filled cysts in between nodules were partly covered by solid papillary excrescences. The tumour appeared to arise from the tunica vaginalis and invaded into the testicular parenchyma. Microscopically it showed papillary architecture for the most part with papillary fibrovascular cores lined by epithelioid cells with round nuclei, coarse chromatin, prominent nucleoli and amphophilic cytoplasm. Irregular infiltrative trabecula with associated desmoplastic stroma and solid islands with central necrosis were also identified. About 5% of the tumour showed sarcomatoid features with intersecting fascicles of atypical spindle cells. The tumour invaded the testicular parenchyma. Focal lymphovascular space invasion was identified. The lesional cells expressed keratin (KRT) AE1/AE3, KRT 7, KRT 5/6, calretinin, WT1 and D2-40. Negative immunohistochemical markers included BerEp4, MOC31, CD15, PAX8 and NKX3.1; germ cell markers (SALL4, OCT4, CD30, AFP and glypican 3) and sex cord stromal markers (SF1 and inhibin). BAP1 showed retained (intact) expression. MTAP showed equivocal focal loss (10% of the tumour). A diagnosis of mesothelioma of the tunica vaginalis (MTV) was rendered.
MTV is a paratesticular neoplasm, representing less than 1% of pleural and peritoneal mesotheliomas. It occurs in patients in their sixth to seventh decades of life, though occasional cases have been reported in children. They are associated with asbestos exposure. Macroscopically the tunica vaginalis is thickened with tan, white haemorrhagic nodules on the surface. It usually invades the testicular parenchyma, appendages and soft tissue. Microscopically it is predominantly papillary, but can also be solid, cribriform and sarcomatoid. Immunohistochemically it is positive for mesothelial markers [1]. Although BAP1 and MTAP immunohistochemical stains are specific for mesothelioma and serve as markers for BAP1 and CDKN2A/B pathogenic alterations, they have lower specificity with loss of BAP1 identified in 22% (2 of 9) and loss of MTAP in 17% (2 of 12) of MTV in one study [2]. In a review of the prevalence of pathogenic alterations in MTV, Gupta and Cheville found that NF2 gene alterations are much more common than BAP1 and CDKN1A/B, with NF2 alterations identified in 10/20 (50%) cases and combined BAP1 and CDKN1A/B alterations identified in 7/20 (35%) cases [3].
There are several differential diagnoses. Serous carcinoma (SC) can be indistinguishable from MTV, both macroscopically and microscopically. However, SC tends to be PAX8, CD15, BerEp4, MOC31, TAG-72 positive and calretinin negative, while MTV tends to show opposite patterns of expression. Adenocarcinoma of the rete testis can show similar microscopic features to MTV. However, macroscopically it is centred in the testicular hilum with intrarete growth. While it can also express mesothelial markers such as calretinin, WT1 and keratin 5/6, it tends to be CD15, BerEp4, TAG-72 and PAX8 positive. Germ cell tumours such as yolk sac tumour and embryonal carcinoma can show papillary growth patterns but originate within the testis and germ cell markers are positive, as opposed to MTV. History of extratesticular primary carcinoma and appropriate immunohistochemical stains help distinguish MTV from metastatic carcinoma [4]. The rare mesothelioma of uncertain malignant potential (MUMP)/complex mesothelial tumour of the tunica vaginalis shows complex cords or cribriform architecture and can show focal necrosis. However, as opposed to MTV it does not exhibit irregular infiltrative downward growth and lacks a desmoplastic stromal reaction. Alterations in BAP1, CDKN1A/B and NF2 have not been reported in MUMP [3,5-7].
1. Amin MB, Berney DM, Compérat, EM, et al. Tumours of the Testicular Adnexa. In: WHO Classification of Tumours Editorial Board. Urinary and male genital tumours [Internet]. Lyon (France): International Agency for Research on Cancer; 2022 [cited 2024/7/1]. (WHO classification of tumours series, 5th ed.; vol. 8). Available from: https://tumourclassification.iarc.who.int/chapters/36.
2. Anderson WJ, Sholl LM, Fletcher CDM, Schulte S, Wang LJ, Maclean FM, Hirsch MS. Molecular and immunohistochemical characterisation of mesothelioma of the tunica vaginalis. Histopathology. 2022 Jul;81(1):65-76.
3. Gupta S, Cheville JC. Mesothelioma of uncertain malignant potential (MUMP) of the tunica vaginalis: Proposal for reclassification as “Complex Mesothelial Tumor of the tunica vaginalis”. Am J Surg Pathol. 2024 Apr 8.
4. Ulbright TM, Kao CS, Williamson SR, Idrees MT. AFIP Atlases of Tumor and Non-tumor Pathology: Tumors and Tumor-like Lesions of the Testis and Adjacent Tissues. Series 5. Virginia: ARP Press, 2022; Chapter 8, Miscellaneous primary testicular, adnexal, and spermatic cord tumours.
5. Brimo F, Illei PB, Epstein JI. Mesothelioma of the tunica vaginalis: a series of eight cases with uncertain malignant potential. Mod Pathol. 2010 Aug;23(8):1165-72.
6. Ding CC, De Paula Oliveira L, Lotan TL, Argani P, McKenney JK, Epstein JI. Regarding NF2 (Merlin) Status in Mesothelioma of Uncertain Malignant Potential (MUMP) or Complex Mesothelial Tumor of the Tunica Vaginalis. Am J Surg Pathol. 2024 Jul 4.
7. Ding CC, De Paula Oliveira L, Lotan TL, Argani P, McKenney JK, Epstein JI. Regarding NF2 (Merlin) Status in Mesothelioma of Uncertain Malignant Potential (MUMP) or Complex Mesothelial Tumor of the Tunica Vaginalis. Am J Surg Pathol. 2024 Jul 4.
Laurence A Galea (1), David Pan (2), Adam Scarlett (1)
1. Department of Anatomical Pathology, Melbourne Pathology, Sonic Healthcare, Victoria, Australia
2. Departments of Urology, Austin Health, Monash Health, Cabrini Health and Mulgrave Hospital, Victoria, Australia.
Testis, Paratestis
Mesothelioma, tunica vaginalis, BAP1, MTAP, NF2.






