CASE OF THE WEEK
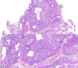
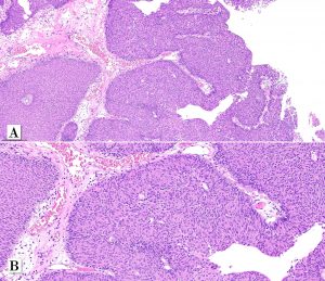
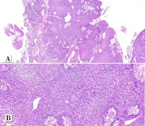
A male patient in his early 70s underwent surgical removal a single pedunculated 3 cm polypoid tumor in the bladder mucosa at the left lateral wall.
Contributors :
Bruna Aparecida Magalhães
Oncoclinicas Precision Medicine
São Paulo, São Paulo, Brazil
Emilio Marcelo Pereira
Oncoclinicas Precision Medicine
São Paulo, São Paulo, Brazil
Daniel Athanazio
Oncoclinicas Precision Medicine
Federal University of Bahia
Salvador, Bahia, Brazil
What is the correct diagnosis?
Condyloma acuminatum
Seborreic keratosis
Squamous cell carcinoma, papillary type
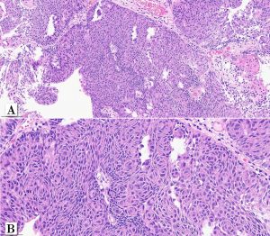
Papillary urothelial carcinoma, noninvasive, whorled subtype
Nephrogenic adenoma
Papillary urothelial carcinoma, noninvasive, whorled subtype
Papillary urothelial carcinoma, noninvasive, whorled subtype
Invasive urothelial carcinoma has a known broad plasticity and can show diverse morphologic variations including divergent differentiation (squamous, glandular and trophoblastic) and numerous subtypes. They are usually regarded as high-grade and considered risk factors in T1 disease. Some of them have a body of literature supporting aggressive behavior such as plasmacytoid, micropapillary and sarcomatoid.
Divergent differentiation and subtypes of invasive urothelial carcinoma should be mentioned in pathology reports and quantified. Morphologic variations within noninvasive papillary urothelial carcinoma are more commonly overlooked and has no known prognostic implications to date.
Different peculiar patterns of noninvasive papillary urothelial carcinoma have been reported such as glandular, villoglandular and micropapillary (Amin and Epstein 2012; Miller and Epstein 2009; Lim et al. 2009). Reporting subtypes of noninvasive urothelial carcinoma is optional. If reported, it is important to point out in a comment that the biological significance of these findings is unknown and clearly state that it does not refer to subtypes of invasive components (for instance, invasive micropapillary subtype) which infers aggressive behavior (Amin and Epstein 2012).
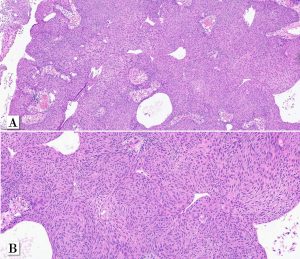
One rare morphologic subtype of in noninvasive papillary urothelial carcinoma has been described as a whorled pattern. Patriarca et al. 2014 described a series of 12 patients: all noninvasive and most of them 11/12 classified as low-grade. One patient had a tumor with mixed grade (5% of the tumor at other areas. Whorled pattern shows concentrically organized cell structures, without morphological evidence of keratinization, similar to the whorling structures of transitional meningioma.
In that series, none of the cases experienced T1 stage progression and two recurrences occurred. One of the recurrent tumors was the one harboring small focus of high-grade tumor inside the primary lesion. Interestingly, the recurrent cases maintained the same whorling pattern in the second transurethral resection specimens. Therefore, although limited data on follow up is available, clinical behavior seems to be similar to low-grade noninvasive papillary urothelial carcinoma (Patriarca et al. 2014). Awareness of this morphologic subtype is important to avoid misclassification of other epithelial lesions which may show squamous or squamoid morphology.
Amin A, Epstein JI. Noninvasive micropapillary urothelial carcinoma: a clinicopathologic study of 18 cases. Hum Pathol. 2012;43:2124–8.
Miller JS, Epstein JI. Noninvasive urothelial carcinoma of the bladder with glandular differentiation: report of 24 cases. Am J Surg Pathol. 2009;33:1241–8.
Lim M, Adsay NV, Grignon D, Osunkoya AO. Urothelial carcinoma with villoglandular differentiation: a study of 14 cases. Mod Pathol. 2009;22(10):1280–6.
Patriarca C, Comperat E, Bollito E, Ussia A, Scola G, Cavallero A, Ferrari L, Giunta P, Conti G. Whorled Urothelial Cell Carcinoma: A Neglected Variant. Int J Surg Pathol. 2014 Aug;22(5):408-13. doi: 10.1177/1066896914527608.
Bruna Aparecida Magalhães
Oncoclinicas Precision Medicine
São Paulo, São Paulo, Brazil
Emilio Marcelo Pereira
Oncoclinicas Precision Medicine
São Paulo, São Paulo, Brazil
Daniel Athanazio
Oncoclinicas Precision Medicine
Federal University of Bahia
Salvador, Bahia, Brazil
Urinary bladder
Urinary Bladder; Urothelial Carcinoma; Bladder Neoplasms.





