CASE OF THE WEEK
A 26-year-old male patient presented with a renal mass and subsequently underwent nephrectomy. The resected specimen was submitted for pathological evaluation.
Contributors :
Dr Yacob Alemu, Dr Wondossen Alemu
What is the diagnosis ?
A. Epithelioid Angiomyolipoma
B. Papillary Rcc
C. TFE 3-Rearranged Rcc
D. Clear Cell Rcc
E. Oncocytoma
Which markers stain positive for these tumors?
A. PAX 8
B. Caltretinin.
C. CAIX
D. CD 45
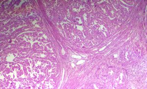
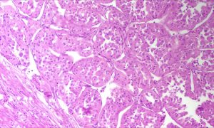
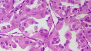
The usual histological pattern of the TFE3-rearranged RCC is that of a papillary neoplasm composed of epithelioid clear cells with abundant psammoma bodies
In contrast to most RCCs, TFE3-rearranged RCCs under express epithelial markers such as cytokeratins and EMA, but they do consistently express PAX8
The usual histological pattern of the TFE3-rearranged RCC is that of a papillary neoplasm composed of epithelioid clear cells with abundant psammoma bodies
The typical histological pattern of TFE3-rearranged RCC is a papillary neoplasm made up of epithelioid clear cells with abundant psammoma bodies. These tumors can also mimic other renal neoplasms, including clear cell RCC, papillary RCC, clear cell papillary renal cell tumor, multilocular cystic renal cell neoplasm of low malignant potential, oncocytoma, and epithelioid angiomyolipoma. Some TFE3-rearranged RCCs contain melanin pigment, creating similarities with TFE3-rearranged pigmented perivascular epithelioid cell tumors (PEComas). Unlike typical PEComas, TFE3-rearranged PEComas generally affect younger patients, exhibit clear cell morphology, show minimal to no muscle marker immunoreactivity, and do not have TSC1 or TSC2 gene inactivation or an association with tuberous sclerosis.
In contrast to most RCCs, TFE3-rearranged RCCs underexpress epithelial markers such as cytokeratins and EMA, but consistently express PAX8. Some also express melanocytic markers like melan-A and HMB45, with about 60% labeling for cathepsin K. Strong nuclear TFE3 immunoreactivity is highly sensitive and specific for TFE3-rearranged RCCs, but TFE3 break-apart FISH assays are often more reliable due to fewer fixation issues. However, detecting TFE3 rearrangements involving Xp11 inversions can be challenging, sometimes resulting in false negatives. These fusions include RBM10::TFE3, GRIPAP1::TFE3, RBMX::TFE3, and NONO::TFE3. The diagnosis is suspected when typical features of TFE3-rearranged RCC, such as cathepsin K immunoreactivity and characteristic morphology, are present alongside strong nuclear TFE3 labeling. It can be confirmed by RNA sequencing, RT-PCR, or specialized FISH probes.
We consulted Dr. Maria Tretiakova via Email, and she agreed, replying, “I agree with your assessment based on H&E and patient age that this tumor is best classified as “Favor translocation RCC (MiT family).” I think it’s most likely TFE3-rearranged). Also, some areas show grade 3 features (quite pleomorphic with prominent nucleoli), but it should be evaluated at 10x.”
WHO Classification of Tumours
Dr Yacob Alemu, Dr Wondossen Alemu
Kidney
translocation RCC




