CASE OF THE WEEK
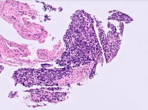
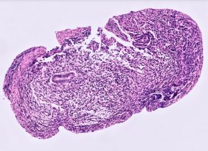
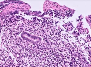
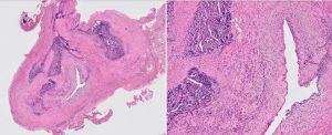
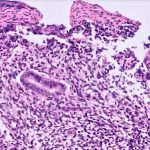
A female patient in her 40s presented with renal impairment. CT intravenous pyelography demonstrated longstanding right hydronephrosis and hydroureter with lower ureteric obstruction. At ureteroscopy there was a lesion in the right lower ureter that was biopsied (three biopsies, each 1mm). This was followed by right distal ureterectomy and ureteric reimplantation. The first four images are from the diagnostic biopsy and the last image is from the resection specimen.
Contributors :
Laurence A Galea (1), Nicole Lightfoot (1), Vanessa Obers (1), Charles Han (2)
1. Department of Anatomical Pathology, Melbourne Pathology, Sonic Healthcare, Victoria, Australia
2. Department of Urology, Eastern Health, Victoria, Australia.
What is the correct diagnosis?
a. Nephrogenic metaplasia/adenoma
b. Small cell neuroendocrine carcinoma and nephrogenic metaplasia/adenoma
c. Endometriosis
d. Biphasic synovial sarcoma
e. Haematolymphoid neoplasm and nephrogenic metaplasia/adenoma
Endometriosis
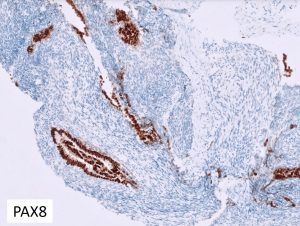
The biopsies showed small glands lined by simple columnar epithelium with cells showing basal elongated nuclei and scant apical eosinophilic cytoplasm. The surrounding stroma was cellular and composed of bland spindle cells with hyperchromatic nuclei with focal crush artefact. Keratin AE1/AE3 and PAX8 were expressed in the glandular cells only. The stromal cells were diffusely positive for CD10. ER was expressed in both glands and stroma. Neuroendocrine (NE) markers (synaptophysin, chromogranin A and INSM1), CD45, CD20, SS18-SSX and SSX-CT were negative. A diagnosis of ureteric endometriosis was rendered.
The distal ureterectomy specimen showed endometriosis with similar features to the initial ureteric bioipsy that infiltrated the ureteric muscularis propria and formed a mass undermining unremarkable urothelium. There was no evidience of hyperplasia, atypia or malignancy.
Endometriosis is defined by the implantation of stroma and/or endometrial glandular epithelium outside the uterus [1]. While it can affect various anatomical sites, urinary tract involvement occurs in approximately 1% of all patients with endometriosis [2]. Of patients with urinary tract endometriosis, the most frequently affected site is the bladder (84%), followed by the ureters (10%), kidney (4%) and urethra (2%) [3]. Ureteric endometriosis can present with flank pain, dysuria, gross haematuria, uraemia and pelvic mass. However, approximately 50% of patients are asymptomatic with high degree of obstruction over a long time leading to deterioration in renal function. There are two ureteric endometriosis types: intrinsic and extrinsic. The latter occurs four times more frequently and endometriotic lesions invade only the outer layer of the ureter and in some cases may lead to ureteric obstruction. In intrinsic endometriosis, endometriotic lesions invade the muscularis propria, and even the ureteric lumen, as in this case. Ureteric endometriosis can mimic other pathologies, most importantly malignancy, and ureteroscopy with biopsy is the most precise diagnostic option [4].
While the PAX8 positive bland glandular proliferation suggested nephrogenic metaplasia, the stromal proliferation suggested a biphasic lesion or dual pathology. The stromal cell cytomorphology was spindled rather than lymphoid; and while CD10 was diffusely positive, the CD45-/CD20-/ER+ immunoprofile excluded a B-cell lymphoproliferative disorder. Although the stromal cells showed focal crush artefact, they did not exhibit significant cytological atypia with high nuclear to cytoplasmic ratios, nuclear overlap and fine chromatin; and NE markers were negative, excluding small cell NE carcinoma. Co-expression of PAX8 and ER have been described in biphasic synovial sarcoma (BSS) and can be a diagnostic pitfall [5,6]. PAX8 was expressed in the glandular structures and ER was diffusely expressed in both glands and stroma in this case, however, the stromal cells did not exhibit fascicular architecture, there was no staghorn/hemangiopericytic branching vascular pattern, KRT AE1/AE3 was completely negative in the stromal cells, and SS18-SSX and SSX-CT were negative, excluding BSS.
1. Olive DL, Pritts EA. Treatment of endometriosis. N Engl J Med. 2001 Jul 26;345(4):266-75.
2. Schneider A, Touloupidis S, Papatsoris AG, Triantafyllidis A, Kollias A, Schweppe KW. Endometriosis of the urinary tract in women of reproductive age. Int J Urol. 2006 Jul;13(7):902-4.
3. Abeshouse BS, Abeshouse G. Endometriosis of the urinary tract: a review of the literature and a report of four cases of vesical endometriosis. J Int Coll Surg. 1960 Jul;34:43-63.
4. Kołodziej A, Krajewski W, Dołowy Ł, Hirnle L. Urinary Tract Endometriosis. Urol J. 2015 Sep 4;12(4):2213-7.
5. Zheng L, Wang XI, Chen S, Moosvi AM, Wan DQ, Zhang S. Two Cases of Biphasic Synovial Sarcoma With Expression of PAX8 and ER: A Diagnostic Pitfall. Int J Gynecol Pathol. 2023 May 1;42(3):234-240.
6. Lordello L, Bur ME, Oliva E, Lennerz JK. PAX8-positive Biphasic Synovial Sarcoma Expressing Hormonal Receptors. Appl Immunohistochem Mol Morphol. 2019 Aug;27(7):e71-e74.
Laurence A Galea (1), Nicole Lightfoot (1), Vanessa Obers (1), Charles Han (2)
1. Department of Anatomical Pathology, Melbourne Pathology, Sonic Healthcare, Victoria, Australia
2. Department of Urology, Eastern Health, Victoria, Australia.
Ureter
Endometriosis, ureter, nephrogenic metaplasia, small cell carcinoma, synovial sarcoma.






